联系我们

电 话:0771-2310996
传 真:0771-2310995
E-mail : 735565094@qq.com
技术支持E-mail: immunechem@gmail.com 备案号:桂ICP备09007987号
地 址:广西南宁市高新技术开发区科园大道68号东盟慧谷11栋203室 530007
Catalog# Product Description |
ICP9701 This product is developed in rabbit immunized with mouse IgG. The antibody was affinity purified using mouse IgG on Agarose. The purified rabbit anti-mouse IgG antibodies are useful for detection, identification, quantization, localization and affinity purification of mouse IgG from mouse serum, ascites and mouse hybridoma cell culture medium. |
|
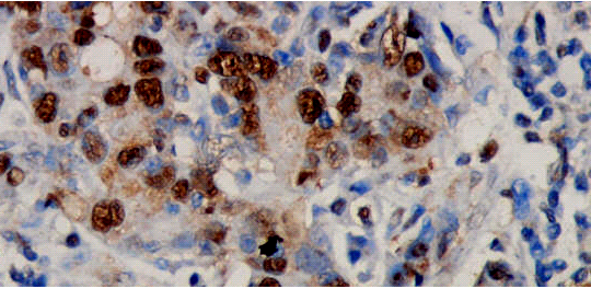
![]()
Immunohistochemistry using ICP9701 as the secondary antibody.
|
Species
|
Rabbit
|
||
Formulation
|
5mg/mL -40mg/mL in
PBS ,with 0.1%NaN3
|
||
Immunogen
|
Purified mouse immunoglobulin G (IgG).
|
||
Purification
|
The antibody is affinity purified with mouse IgG immobilized on agarose and absorbed with IgG from Human.
|
||
Specificity
|
The antibody is specific against mouse IgG, some extent cross-reaction to rat IgG.
|
||
Applications
|
ELISA; WB; IHC; IAC
|
||
Scientific Description
|
IgG is a monomeric immunoglobulin. It is composed of two heavy chains and two light chains. Each IgG has two antigen binding sites. It is the most abundant immunoglobulin in the blood and tissue. It provides protection against many kinds of bacteria, viruses, fungi as well as optimizing phagocytosis and neutralizing bacterial toxins.
|
||
Storage & Stability
|
Product is stable for 30 days at room temperature. For extended storage, store the product at -20°C. Expiration date is one year from the date of shipping if stored properly.
|
||
Bulk Orders
|